Unser Leistungsspektrum
Innere Medizin und Gastroenterologie
Die medizinischen Kernleistungen der Praxis umfassen folgende diagnostische und therapeutische Verfahren aus dem Fachgebiet der Gastroenterologie mit ihren endoskopischen Untersuchungsverfahren.
- Darmspiegelung / Sigmo – Kolo – Ileoskopie
- Magenspiegelung / Ösophago – Gastro – Duodenoskopie
- Kapselendoskopie
- H2 Atemtest (zur Zeit nicht durchführbar)
- 13C Harnstoff
- Hämorrhoidensprechstunde / Konservative Proktologie
- Beratung und Therapieführung von Patienten mit Erkrankungen des Verdauungstraktes und chronischen Leber- bzw. Gallenwegserkrankungen
- Ultraschalluntersuchungen / Sonografie
- Internistische Labordiagnostik und Individuelle Gesundheitsleistung/IGeL
Vorsorge Darmspiegelung / diagnostische Darmspiegelung
-
Präventive Koloskopie (Vorsorge Darmspiegelung)
-
Darmpolypentfernung / ambulante Polypektomien
-
Diagnostische Koloskopie zur Abklärung abdomineller Beschwerden, ggf. mit Probeentnahmen (z.B. bei Verdacht auf chronisch-entzündl. Darmerkrankung)
-
Endoskopische Tumornachsorge
Magenspiegelung (Ösophago-Gastro-Duodenoskopie)
-
Zur Abklärung von Oberbauchbeschwerden, Schluckbeschwerden, Sodbrennen etc.
-
Testung auf Helicobacter pylorii
-
Endoskopische Entfernung von PEG Sonden (MagenSonden)
-
Endoskopische Tumornachsorge
Kapselendoskopie des Dünndarms
Die Kapselendoskopie ist ein Verfahren zur Untersuchung des Dünndarms.
Hierbei wird eine erdnussgroße Kapsel geschluckt, die eine Digitalkamera, deren Stromversorgung sowie einen Sender beinhaltet. Die Videokapsel sendet über 8-10 Stunden pro Sekunde mehrere Bilder aus dem Magen- Darm-Trakt an einen Datenrecorder, den der Patient am Körper trägt.
Die aufgezeichneten Bilder werden rechnergestützt zu einem „Video“ verarbeitet, was dem Untersucher die Auswertung ermöglicht.
13C Harnstoff Atemtest
Zur Kontrolldiagnostik nach Helicobacter pylorii Eradikationstherapie.
H2 Atemtest
Zur Diagnostik bei Unverträglichkeit auf Laktose, Fruktose und Sorbit (zur Zeit nicht durchführbar)
Hämorrhoidensprechstunde / Konservative Proktologie
Behandlung von
-
Hämorrhoiden
-
Gummibandligaturbehandlung (Barron Ligatur)
-
Analfissuren
-
Analvenenthrombosen
Beratung und Therapieführung von Patienten mit Erkrankungen des Verdauungstraktes und chronischen Leber- bzw. Gallenwegserkrankungen
-
CED-Patienten (chronisch entzündliche Darmerkrankungen), Morbus Crohn, Colitis ulcerosa
-
Tumornachsorge bei Patienten mit Magen-, Darm und Speiseröhrentumoren
-
Lebererkrankungen
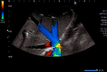
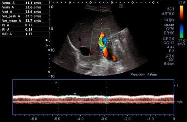
Ultraschalluntersuchungen / Sonografie
-
Ultraschalluntersuchungen des Bauchraumes
-
Konventionelle Sonografie
-
Farbkodierte Duplexsonografie
-
Ultraschalluntersuchungen der Gefäße
-
Vorsorge Bauchaortenaneurysma
-
Scherwellenelastographie der Leber (2D, Point-shear-wave) [IGeL]
Individuelle Gesundheitsleistungen / IGEL
Wir können Ihnen versichern, dass Sie von uns immer die für Sie individuell erforderliche medizinische Beratung und Behandlung erhalten. Hierbei kann es vorkommen, dass wir Sie auf medizinische Leistungen aufmerksam machen, die wir für sinnvoll erachten, aber nicht zum Leistungsumfang der gesetzlichen Krankenversicherung (Individuelle Gesundheitsleistungen [IGeL] gehören und deren Kosten Sie als Patient leider selbst tragen müssen. Sie sind nicht verpflichtet, diese anzunehmen. IGeL sind ein Zusatzangebot und bedürfen stets Ihr schriftliches Einverständnis.
Sollten Sie eine IGeL in Anspruch nehmen wollen, müssen wir mit Ihnen einen privatärztlichen Behandlungsvertrag abschließen. Die Rechnung auf Grundlage der GOÄ (Gebührenordnung für Ärzte) erfolgt direkt an Sie als Patient(-in). Besprechen Sie gerne im Vorfeld mit ihrer Krankenkasse die Möglichkeit einer (Teil-)erstattung der Rechnung.
-
Erweiterung der Labordiagnostik
-
Leberelastographie (2D-Elastographie, Punkt-Scherwellenelastographie)
-
Sonografie-Check der Bauchorgane- und Bauchgefäße